
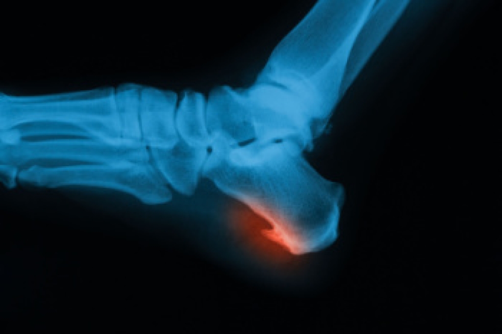
Pain in the arch of the foot can develop for several reasons, related to structure, strain, or injury. The arch is a curved area on the bottom of the foot that helps support body weight and absorb shock when walking. A frequent cause of pain in the arches is plantar fasciitis. This condition involves inflammation of a thick band of tissue that connects the heel to the toes. Flat feet or very high arches can also change how weight is distributed, placing extra stress on the arch. Overuse from prolonged standing, walking, or sports can strain muscles and ligaments. Injuries like sprains or small fractures may also lead to arch pain. A podiatrist can perform an exam and order imaging to confirm the cause. They also can provide orthotics, bracing, or suggested exercises to reduce strain and improve function. If you are experiencing foot arch pain, it is suggested that you make an appointment with a podiatrist for help.
Foot Pain
Foot pain can be extremely painful and debilitating. If you have a foot pain, consult with the foot specialists from Affiliates in Foot Care, P.C.. Our doctors will assess your condition and provide you with quality foot and ankle treatment.
Causes
Foot pain is a very broad condition that could be caused by one or more ailments. The most common include:
- Bunions
- Hammertoes
- Plantar Fasciitis
- Bone Spurs
- Corns
- Tarsal Tunnel Syndrome
- Ingrown Toenails
- Arthritis (such as Gout, Rheumatoid, and Osteoarthritis)
- Flat Feet
- Injury (from stress fractures, broken toe, foot, ankle, Achilles tendon ruptures, and sprains)
- And more
Diagnosis
To figure out the cause of foot pain, podiatrists utilize several different methods. This can range from simple visual inspections and sensation tests to X-rays and MRI scans. Prior medical history, family medical history, and any recent physical traumatic events will all be taken into consideration for a proper diagnosis.
Treatment
Treatment depends upon the cause of the foot pain. Whether it is resting, staying off the foot, or having surgery; podiatrists have a number of treatment options available for foot pain.
If you have any questions, please feel free to contact our office located in Woburn, MA . We offer the newest diagnostic and treatment technologies for all your foot care needs.



